Meningioma Surgery
In Los Angeles

Meningioma Surgery

World Class Brain Tumor Treatment

Meningiomas are among the most common types of brain tumors and often require specialized neurosurgical care. Gabriel Zada is a nationally recognized neurosurgeon in Los Angeles who specializes in meningioma surgery and complex brain tumor treatment.

With extensive experience in advanced neurosurgical techniques, Dr. Zada provides personalized care for patients with meningiomas located in the brain and skull base. His approach emphasizes maximizing tumor removal while preserving neurological function, using modern imaging, microsurgical techniques, and minimally invasive approaches whenever possible.

Patients from across Los Angeles and Southern California seek Dr. Zada’s expertise for the treatment of complex meningiomas and other brain tumors.

What Is Meningioma?

Meningioma Treatment

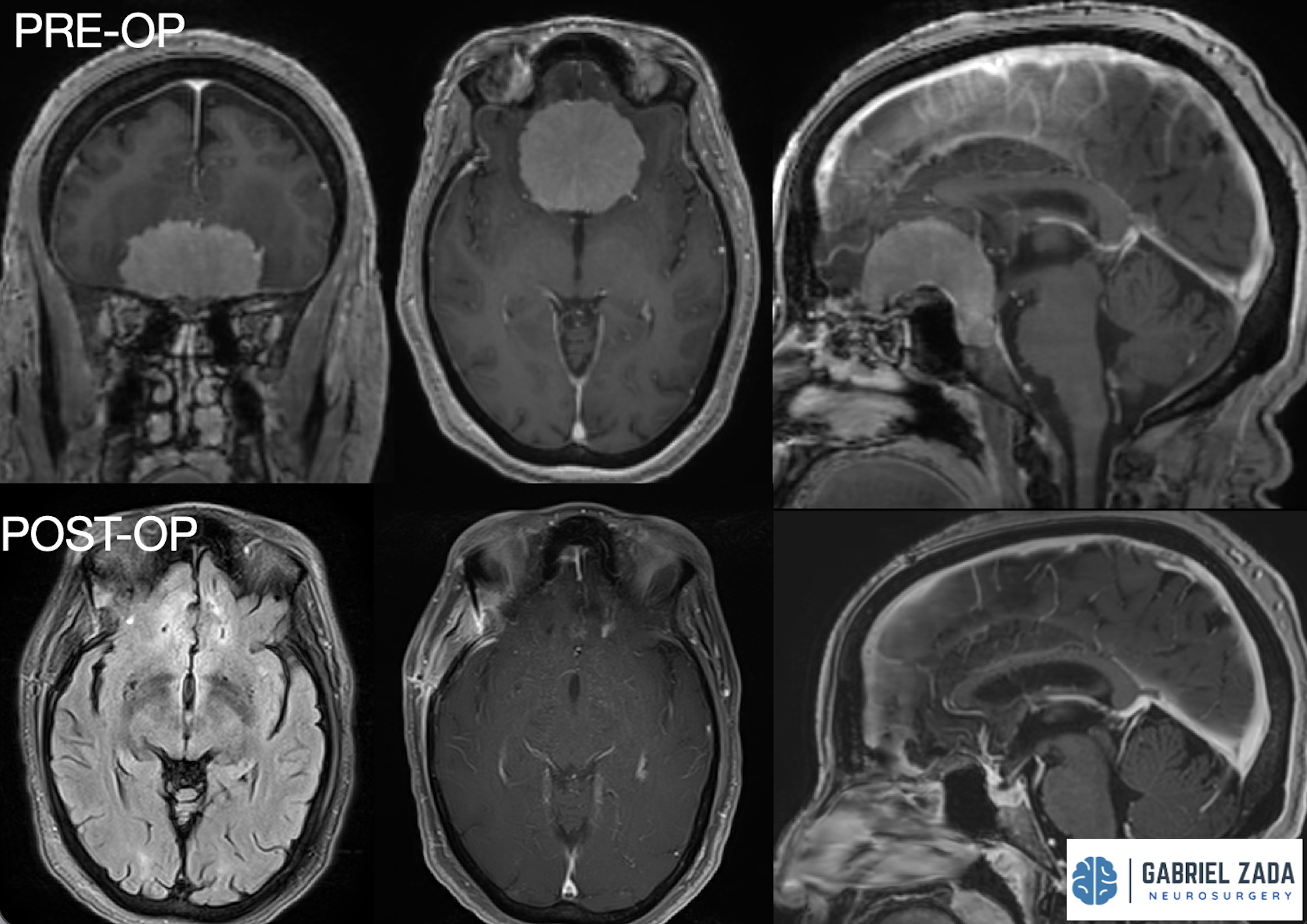
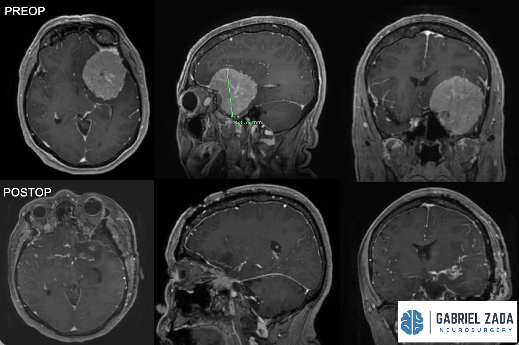
A meningioma is a tumor that develops from the meninges, the protective layers surrounding the brain and spinal cord. Most meningiomas are benign (non-cancerous), but they can grow slowly and press on nearby brain structures.

Depending on their size and location, meningiomas may cause a range of symptoms and may require surgical removal.

Common symptoms include:

  • Persistent headaches

  • Vision changes or double vision

  • Seizures

  • Weakness in the arms or legs

  • Balance problems

  • Memory or cognitive changes

Early diagnosis and treatment by an experienced neurosurgeon can help prevent complications and improve outcomes.

Types of Meningiomas Treated

Gabriel Zada treats a wide range of meningiomas, including complex tumors located near critical brain structures.

Meningioma Doctor LA
  • Tumors located on the outer surface of the brain that are often highly treatable with surgery.

  • Tumors located deep at the base of the skull that require specialized neurosurgical expertise.

  • Tumors that develop near the superior sagittal sinus, an important venous structure.

  • Tumors located near the sphenoid bone that may affect vision or eye movement.

  • Tumors that return after previous treatment and require advanced surgical strategies.

Advanced Surgical Techniques for Menigioma Surgery

Meningioma Surgery In California

Dr. Zada utilizes state-of-the-art neurosurgical techniques to safely remove meningiomas while protecting surrounding brain structures.

Microsurgical Tumor Removal

High-powered surgical microscopes allow precise tumor removal while minimizing damage to healthy tissue.

Skull Base Surgery

Complex meningiomas located near the skull base require advanced surgical approaches designed to reach deep areas of the brain.

Minimally Invasive Approaches

Whenever possible, minimally invasive techniques are used to reduce recovery time and surgical impact.

Image-Guided Surgery

Advanced navigation systems help guide the surgeon with real-time imaging for enhanced precision.

Recovery After Meningioma Surgery

Recovery following meningioma surgery varies depending on the tumor location, size, and complexity of the procedure.

Typical recovery expectations include:

  • Hospital stay of several days after surgery*

  • Gradual return to normal activities over several weeks*

  • Follow-up MRI imaging to monitor results

  • Ongoing neurological and medical evaluation

Dr. Zada and his care team provide detailed post-operative care and long-term monitoring to ensure optimal recovery.

FAQ – Meningioma Surgery

How serious is meningioma surgery?
Meningioma surgery is a complex neurosurgical procedure, but when performed by an experienced specialist, it is generally safe and effective.

Are meningiomas cancerous?
Most meningiomas are benign, though some may behave more aggressively and require additional treatment.

How long does meningioma surgery take?
Surgery time varies depending on tumor location and complexity but typically lasts several hours.

Can meningiomas come back after surgery?
Some meningiomas may recur, which is why long-term follow-up imaging is important.

If you have been diagnosed with a meningioma or are experiencing symptoms of a brain tumor, expert care is essential. Gabriel Zada provides advanced meningioma surgery in Los Angeles, California, offering personalized treatment for complex brain and skull base tumors.

Contact the office today to schedule a consultation and learn more about your treatment options.

Schedule a Meningioma Consultation

  • We are profoundly grateful for the extraordinary care provided by Dr. Gabriel Zada. From our first meeting, Dr. Zada demonstrated a rare combination of clinical brilliance, humility, and genuine compassion. As the Surgical Director of the USC Brain Tumor Center, his mastery of minimally invasive skull base surgery and his use of cutting-edge technology like the Gamma Knife® Esprit represent the absolute frontier of modern neurosurgery.

    Michael M.

  • Excelentes médicos excelentes atenciones estoy muy agradecida con Dios y con el Dr. Gabriel zada y su equipo medico por mi cirugía de glándula pitutaria en mi cerebro gracias por otra oportunidad de vida todo salio perfecto estoy en recuperación muy favorable

    Adriana D.

  • Dr. Gabriel Zada is an exceptional physician whose extensive knowledge and genuine compassion set him apart in the medical field. His dedication to patient care is evident in every interaction, as he takes the time to listen and address concerns thoroughly. Patients consistently praise his ability to explain complex medical concepts in a clear and understandable manner, making them feel comfortable and informed about their health. I

    Mariam G.

* Representative cases shown for educational purposes. All images de-identified. Individual results vary.